
Odontología Estética
Servicios profesionales
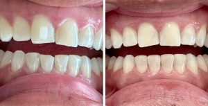
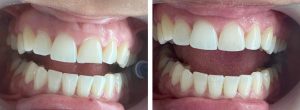
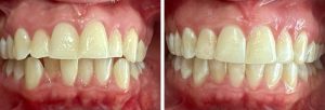
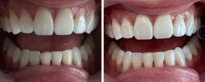
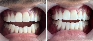
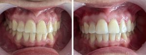
Tratamientos enfocados en mejorar la apariencia de tu sonrisa. Realizamos procedimientos como blanqueamiento dental, restauraciones estéticas y diseño de sonrisa personalizado.

Ortodoncia
Calidad y servicio
Nuestro objetivo es cumplir tres propósitos clave con cada paciente: 1 corregir la alineación dental, 2 mejorar la función masticatoria y 3 fortalecer la salud oral a largo plazo.

Odontología General
Calidad y servicio
Tratamientos orientados a la prevención, diagnóstico y cuidado integral de la salud oral, ayudando a mantener dientes y encías sanas en cada etapa de la vida.
Natalia Alzate Sierra
Soy Natalia Alzate Sierra, Odontóloga General egresada de la Universidad CES. Me dedico a la estética dental, especialmente a la técnica de bordes en resina, con la cual busco realzar la sonrisa de cada paciente de manera sutil y armónica.
Mi enfoque es ofrecer una asesoría personalizada, entendiendo las necesidades de cada persona para lograr resultados naturales y acordes con su identidad.

Nuestro Trabajo
¿Necesitas ayuda?
Contacta con nosotros, y resolveremos tus dudas

